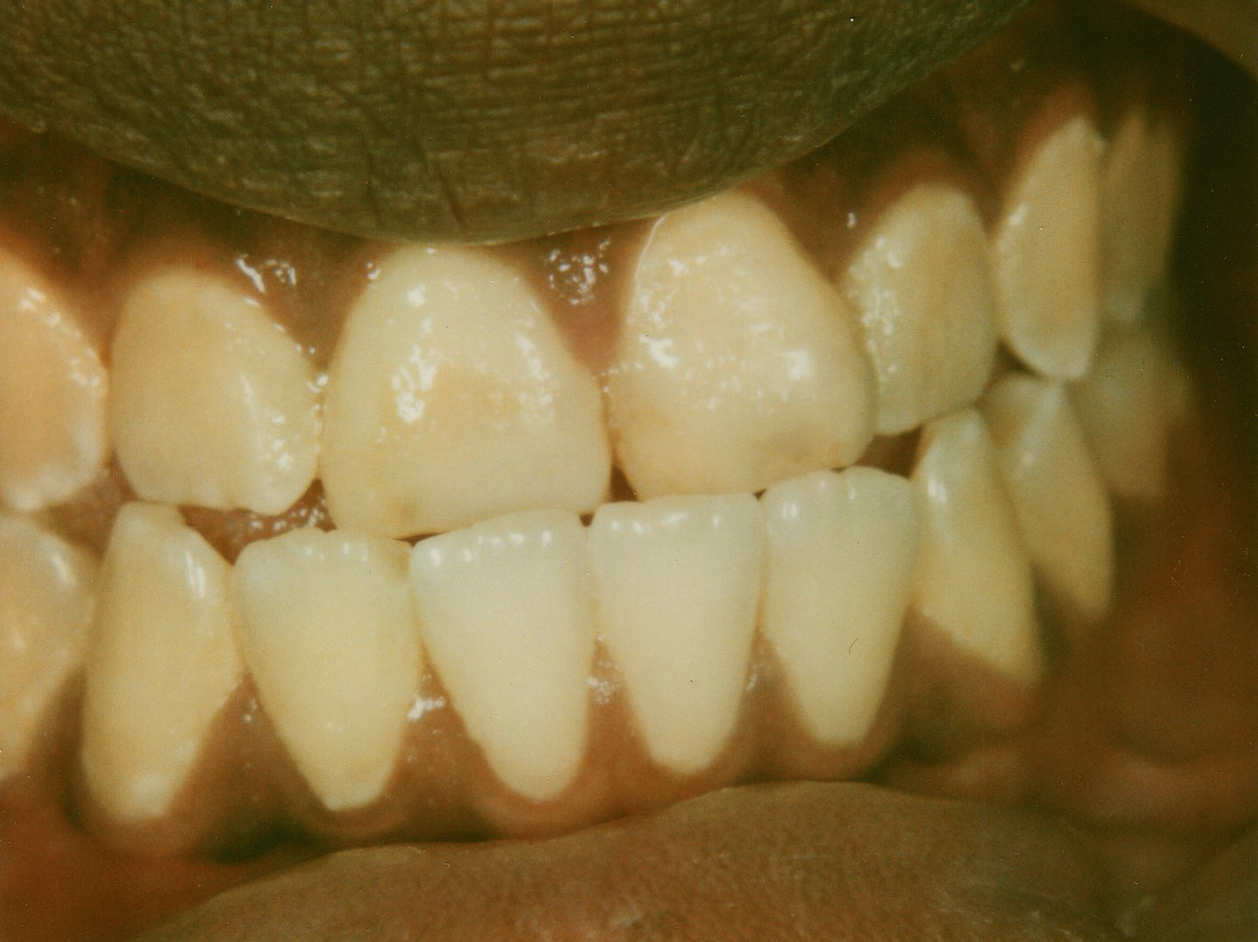
Before Treatment
After Veneer
Before Treatment
After LAVA (Full Porcelin Crown)
For more Photos and photo Album
click Here
Copyright (c) 2014.
GTFamilydentistry.com
All rights reserved
Web Design online Marketing By:
PH_IT Solutions